
在癫痫病灶切除手术中,如何在治愈癫痫的同时更好的保留病人原有的功能区、尽量降低手术风险,是目前神经外科面临的主要挑战之一。目前临床所使用的电刺激、fMRI、PET-CT等检测方法均存在各自的弊端,并且提供信息不够直观。针对于此,本作品提出了基于颅内脑电High Gamma频段能量活动的个体化功能映射技术,并以此为基础建立了一套基于颅内脑电的高精度脑功能映射与神经监护系统。
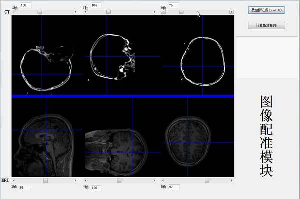
癫痫作为一种古老的神经系统常见病,严重危害着人类的健康。根据世界卫生组织的报告,全球癫痫患者约5000万人,而我国约有900多万癫痫患者,其中600万病人每年仍有发作,而且每年还会出现40万新发病例。近年来随着我国人口老龄化,脑血管病、痴呆和神经系统退行性疾病的发病率增加,老年人群中癫痫发病率已出现上升的趋势。从原理上讲,癫痫是由于大脑神经细胞的阵发性过度放电导致的。轻度的癫痫可以通过药物加以控制,然而一旦发展成为顽固性癫痫,药物治疗将很难起效或者引起不可接受的副作用。此时,如果癫痫病灶具有局灶性,即应考虑手术治疗。进行病灶切除手术前,必须进行病人的脑功能映射,从而确定病灶和必须保留的重要功能区域的位置。目前临床所使用的电刺激、fMRI、PET-CT等脑功能映射方法均存在各自的弊端,并且提供信息不够直观。针对这些不足之处,本作品提出了基于颅内脑电High Gamma(HG) 频段能量活动的个体化功能映射技术,并以此为基础建立了一套基于颅内脑电的高精度脑功能映射与神经监护系统。整个系统由5部分组成:(1)图像配准(2)电极坐标提取(3)MRI图像分割和重建(4)ECoG信号处理(5)显示控制界面。相比于如前所述的现有技术,本作品实现了个体化的脑功能映射3D可视化,主要具有三点优势:首先,通过分析执行任务时病人的脑电变化确定功能区,更加快速准确的实现了功能区的映射,避免了对人脑的电流刺激。第二,操作用时远远小于电刺激。完成一类功能映射,从开始测试到分析完结果平均需要5分钟。第三,功能映射结果直观地显示在病人自己的大脑结构上,并且可以任意地进行三维旋转和调整,为临床提供了方便直观的信息。本作品目前已成为清华大学第二附属医院癫痫中心在制定手术方案时的一个重要参考依据,并在中央电视台《走进科学》栏目的癫痫治疗专题节目中得到了展示。与此同时,目前市面上的颅内脑电监测系统均是波形监测,无法显示脑功能映射;而能够进行脑功能可视化显示的脑电地形图仪又均基于头皮脑电,且对所有病人的脑电数据均投射到标准脑模型上,不符合人体的特异性。综上所述,由于其实用性及独创性,本作品应具有较高的商业价值。
第十二届“挑战杯”作品 三等奖
1.参展首届北京大学生科学研究与创业行动计划项目成果展示与经验交流会;
2.获省级“挑战杯”大学生课外学术科技作品竞赛特等奖;
3.以本作品为研究工具的论文《Individualized cortical function mapping using high gamma activity》,发表于第三届图像与信号处理和生物医学工程与信息学国际学术会议,并被EI,ISTP与IEEE收录。
4.中国科学院文献情报中心科技查新报告结论为:该查新项目针对癫痫病灶切除手术,研究了采用颅内脑电方法对脑功能区定位,以辅助医生在手术中对病人脑部语言、运动、记忆等重要功能区进行保护,在国内公开的文献中未见有与之相同的报道。
5.项目试用情况获相关试用医院认证